Skip to content
  • Home
  • About the Dentists
  • Services
    • Restorative
    • Cosmetic
    • Preventative
    • Before and Afters- Crowns/Bridges
    • Before and Afters- Cosmetic Bondings
    • Before and Afters – Invisalign
  • New Patient
    • New Patient Information
    • FAQ
    • Privacy Policy
  • Online Payment
  • Contact
  • (440) 365-0230

Our office will deliver quality, safe, and reliable dental care to your family, as if we were treating our own family. Our patients' time is very valuable and we respect that when scheduling your treatment. Our staff is well qualified with up to date training using new technology along with experienced laboratory professionals that we have vetted over the years. We have been an active part of the Lorain County community, serving Elyria and surrounding locales, since 1987.

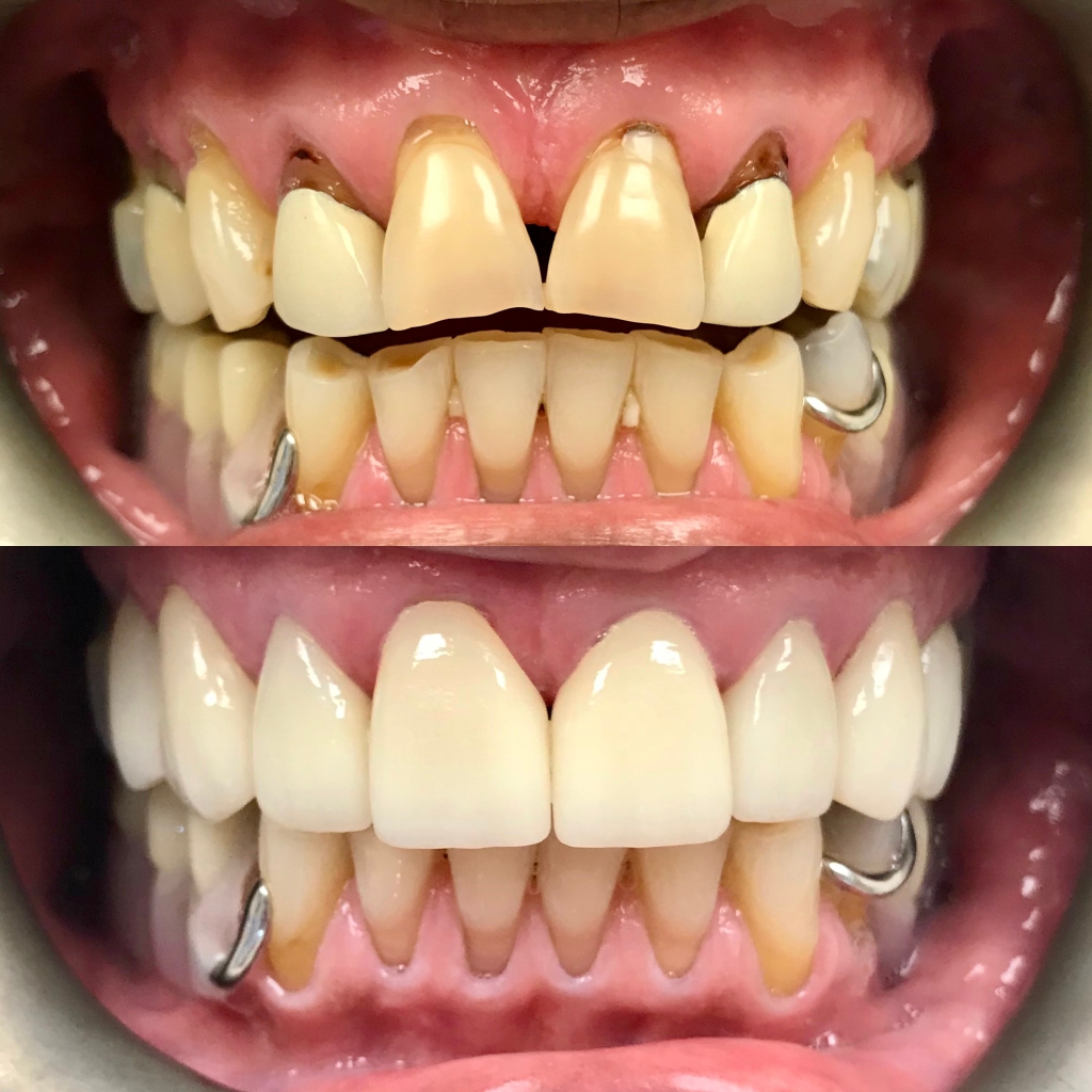
Before and Afters- Crowns/Bridges

Share this:

  • Share on X (Opens in new window) X
  • Share on Facebook (Opens in new window) Facebook
Like Loading...
Site created by Katherine McNeeley DDS

Our Location

550 N Abbe Rd
Elyria, Ohio 44035
(440) 365-0230
Monday 8 am – 5 pm
Tuesday 8 am – 6 pm
Wednesday 8 am – 1 pm
Thursday 8 am – 5 pm
Friday 8 am – 1 pm
  • 550 Abbe Rd N, Elyria, OH, United States
Website Built with WordPress.com.
    • mcneeleyandshubafamilydental.com
    • Sign up
    • Log in
    • Copy shortlink
    • Report this content
    • Manage subscriptions
%d